Чиик-даа, эптиг-даа Тывада “Кадыкшыл” национал төлевилел-биле кадык камгалалының бирги звенозун чаартыр программаның боттанылгазы уламчылап турар. 22 декабря Кадык камгалалы
Кичээнгейлиг! Грипп болгаш ОРВИ өөскүп турар Бо халдавырлыг аарыглардан аараан кижилерден эмчи чалаан таварылгалар көвүдээнин барымдаалааш, Республиканың дүрген дуза чедирер төвүнде ийи немелде фельдшер бригадазын организастаан. 22 декабря Кадык камгалалы
42 ийис республикага төрүттүнген Республика девискээринге 5400 чаштар төрүттүнген. 21 декабря Кадык камгалалы
Тывага 2022 чылда 42 ийистер төрүттүнген ТР-ниң Кадык камгалал яамызының дыңнадып турары-биле, 2022 чылдың эрткен 11 айларының түңнелдери-биле республика девискээринге 5400 чаштар төрүттүнген. 17 декабря Кадык камгалалы
Тывага 2022 чылда 211 эмчи немешкен 2022 чылда кадык камгалал адырынга эмчи кадрлар чедишпезиниң айтырыын шиитпирлээри – чугула айтырыгларның бирээзи турган. 16 декабря Кадык камгалалы
Чуртталганы шаңна Республиканың Хан кудар станциязы декабрь 5-тен 10-га чедир “Чуртталганы шаңна” деп донорлар акциязын чарлаан. 08 декабря Кадык камгалалы
Бир дугаар кыйгы-биле дуза кадып кээр. ТР-ниң Кадык камгалал яамызы Бүгү-делегейниң эки турачылар хүнү-биле эки турачы ажылда хаара туттунган, бир дугаар кыйгы-биле дуза кадып чедип кээр кижилерге, эки турачы эмчилерге байыр чедирген. 07 декабря Кадык камгалалы
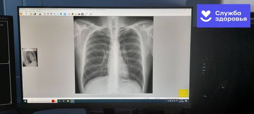
Тожуда чаа рентген аппарадын салган Ырак-узак Тожу кожуунда амгы үеге дүүштүр кылган 9 сая рубль өртектиг “Карс” деп рентген аппарады ажылдап эгелээн. 04 декабря Кадык камгалалы
Тываның эмчи организациялары тергииннерниң аразынче кирген. 2021 чылда акушер-гинекология угланыышкынының эң-не дээре эмчи организациялары” деп номинациязынга Тыва Республиканың хары угда элээн хөй эмчи организациялары төлептиг болган. 30 октября Кадык камгалалы
Эмчиниң өөрүшкүзү – кадык чаштар. Октябрь 16 – анестезиолог-реаниматолог хүнү. 20 октября Кадык камгалалы